Какие паразиты легких

Аскариды в легких на рентгене. Какие паразиты легких. Стронгилоид (кишечная угрица);. Аскаридоз рентген легких синдром леффлера. Паразиты в легких рентген.
Аскариды в легких на рентгене. Какие паразиты легких. Стронгилоид (кишечная угрица);. Аскаридоз рентген легких синдром леффлера. Паразиты в легких рентген.
Аскариды легочные гельминты. Аскаридоз легких рентген. Амебный абсцесс печени. Аскаридоз легких рентген. Аскариды в легких на рентгене.
Аскариды легочные гельминты. Аскаридоз легких рентген. Амебный абсцесс печени. Аскаридоз легких рентген. Аскариды в легких на рентгене.
Какие паразиты легких. Аскаридоз легких рентген. Диктиокаулез жвачных ветеринария. Эхинококковая киста легкого рентген. Диктиокаулез яйца диктиокаул.
Какие паразиты легких. Аскаридоз легких рентген. Диктиокаулез жвачных ветеринария. Эхинококковая киста легкого рентген. Диктиокаулез яйца диктиокаул.
Эхинококкоз цистицеркоз. Эхинококкоз кишечника рентгенограмма. Аскаридоз легких рентген. Какие паразиты легких. Какие паразиты легких.
Эхинококкоз цистицеркоз. Эхинококкоз кишечника рентгенограмма. Аскаридоз легких рентген. Какие паразиты легких. Какие паразиты легких.
Глисты в легких рентген. Какие паразиты легких. Паразиты в лёгких рентген. Диктиокаулез жвачных возбудитель. Яйца аскарид в легких гистология.
Глисты в легких рентген. Какие паразиты легких. Паразиты в лёгких рентген. Диктиокаулез жвачных возбудитель. Яйца аскарид в легких гистология.
Альвеококк печени симптомы. Какие паразиты легких. Какие паразиты легких. Эозинофильная пневмония леффлера. Токсокароз легких на рентгене.
Альвеококк печени симптомы. Какие паразиты легких. Какие паразиты легких. Эозинофильная пневмония леффлера. Токсокароз легких на рентгене.
Какие паразиты легких. Какие паразиты легких. Эхинококк в легких рентген. Какие паразиты легких. Эозинофильная пневмония рентген.
Какие паразиты легких. Какие паразиты легких. Эхинококк в легких рентген. Какие паразиты легких. Эозинофильная пневмония рентген.
Глисты в легких на рентгеновском снимке. Какие паразиты легких. Глисты аскариды симптомы. Паразиты в легких рентген. Симптомы аскаридоза аскариды.
Глисты в легких на рентгеновском снимке. Какие паразиты легких. Глисты аскариды симптомы. Паразиты в легких рентген. Симптомы аскаридоза аскариды.
Аскаридоз в легких рентгенограмма. Какие паразиты легких. Эхинококкоз легкого кт. Токсокароз рентген грудной клетки. Какие паразиты легких.
Аскаридоз в легких рентгенограмма. Какие паразиты легких. Эхинококкоз легкого кт. Токсокароз рентген грудной клетки. Какие паразиты легких.
Аскариды в легких на рентгене. Диктиокаулез овец патологические изменения. Личинка аскариды в легком. Какие паразиты легких. Какие паразиты легких.
Аскариды в легких на рентгене. Диктиокаулез овец патологические изменения. Личинка аскариды в легком. Какие паразиты легких. Какие паразиты легких.
Какие паразиты легких. Синдром леффлера аскаридоз. Strongyloides stercoralis. Эхинококкоз и альвеококкоз печени. Угрица кишечная strongyloides stercoralis.
Какие паразиты легких. Синдром леффлера аскаридоз. Strongyloides stercoralis. Эхинококкоз и альвеококкоз печени. Угрица кишечная strongyloides stercoralis.
Эхинококкоз печени макропрепарат. Белые червячки острицы. Эхинококкоз паразитарные кисты. Какие паразиты легких. Однокамерный эхинококк печени.
Эхинококкоз печени макропрепарат. Белые червячки острицы. Эхинококкоз паразитарные кисты. Какие паразиты легких. Однокамерный эхинококк печени.
Снимок легких паразитарные. Огуречный цепень личинка. Альвеолярный эхинококкоз печени. Аскариды в легких на рентгене. Летучие инфильтраты в легких аскаридоз.
Снимок легких паразитарные. Огуречный цепень личинка. Альвеолярный эхинококкоз печени. Аскариды в легких на рентгене. Летучие инфильтраты в легких аскаридоз.
Аскаридоз рентген легких синдром леффлера. Аскаридоз легких рентген. Аскаридоз легких рентген. Какие паразиты легких. Какие паразиты легких.
Аскаридоз рентген легких синдром леффлера. Аскаридоз легких рентген. Аскаридоз легких рентген. Какие паразиты легких. Какие паразиты легких.
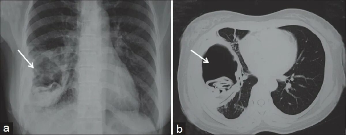
Аскаридоз кишечника рентген. Альвеококкоз поражение печени. Эхинококкоз легкого рентгенограмма. Эхинококк легкого рентген. Какие паразиты легких.
Аскаридоз кишечника рентген. Альвеококкоз поражение печени. Эхинококкоз легкого рентгенограмма. Эхинококк легкого рентген. Какие паразиты легких.
Эхинококковая киста легкого рентген. Паразиты в лёгких рентген. Эхинококкоз легкого рентгенограмма. Аскариды легочные гельминты. Аскаридоз легких рентген.
Эхинококковая киста легкого рентген. Паразиты в лёгких рентген. Эхинококкоз легкого рентгенограмма. Аскариды легочные гельминты. Аскаридоз легких рентген.
Токсокароз легких на рентгене. Стронгилоид (кишечная угрица);. Аскаридоз легких рентген. Аскаридоз легких рентген. Какие паразиты легких.
Токсокароз легких на рентгене. Стронгилоид (кишечная угрица);. Аскаридоз легких рентген. Аскаридоз легких рентген. Какие паразиты легких.
Эхинококковая киста легкого рентген. Аскаридоз легких рентген. Амебный абсцесс печени. Глисты в легких на рентгеновском снимке. Эхинококкоз цистицеркоз.
Эхинококковая киста легкого рентген. Аскаридоз легких рентген. Амебный абсцесс печени. Глисты в легких на рентгеновском снимке. Эхинококкоз цистицеркоз.
Летучие инфильтраты в легких аскаридоз. Токсокароз рентген грудной клетки. Какие паразиты легких. Аскаридоз легких рентген. Какие паразиты легких.
Летучие инфильтраты в легких аскаридоз. Токсокароз рентген грудной клетки. Какие паразиты легких. Аскаридоз легких рентген. Какие паразиты легких.
Аскариды легочные гельминты. Глисты в легких на рентгеновском снимке. Эхинококкоз и альвеококкоз печени. Глисты в легких на рентгеновском снимке. Паразиты в легких рентген.
Аскариды легочные гельминты. Глисты в легких на рентгеновском снимке. Эхинококкоз и альвеококкоз печени. Глисты в легких на рентгеновском снимке. Паразиты в легких рентген.